Probenentnahme aus der Prostata - Prostatabiopsie

Prostata und Probenentnahme - warum?

Die Probenentnahme aus der Prostata wird im Fachbegriff als Prostatabiopsie bezeichnet. Die Prostata ist die Vorsteherdrüse beim Mann. Sie liegt um die Harnröhre herum zwischen Beckenboden und Harnblase und vor dem Enddarm.

Prostatakrebs gehört zu den häufigsten Krebserkrankungen bei Männern. Früh erkannt ist der Prostatakrebs sehr gut behandelbar und heilbar. Besteht der Verdacht auf eine bösartige Veränderung des Prostatagewebes, ist die Entnahme von Gewebeproben der wichtigste Schritt in der Abklärung und Diagnostik. Damit man genau und präzise diese Proben entnehmen kann, erfolgt zuvor ein spezielles MRT der Prostata (mpMRT).

 Lage der Prostata im kleinen Becken_Urologie_Anmriswil
 Lagebeziehung der Prostata im Körper zu Harnblase und Enddarm

Wie verläuft eine Prostatabiopsie?

Die Probenentnahme aus der Prostata erfolgt in der Regel bei uns in der Sprechstunde oder ambulant im Spital. Der Eingriff erfolgt in örtlicher Betäubung. Vor der Untersuchung wird der Urin auf eine versteckte Infektion untersucht. Zum Schutz vor Infektionen erhalten Sie einen Antibiotikaschutz. 

Für die Prostata-Probenentnahme gibt es 2 Verfahren: entweder erfolgt die Gewebeentnahme durch den Enddarm hinweg (transrektal). Oder die Probenentnahme erfolgt über den Damm-Bereich (perineal). Bei beiden Methoden wird Gewebe mit Hilfe spezieller Stanznadeln unter Ultraschall-Sicht aus der Prostata entnommen. Dies geschieht in der Regel in örtlicher Betäubung. Die aus der Prostata entnommenen Gewebeproben werden noch unmittelbar nach der Entnahme auf ihre Qualität kontrolliert und anschliessend zur feingeweblichen Aufbereitung und Untersuchung an ein Speziallabor (Fachausdruck: Pathologie) gesandt.

Nach der Probenentnahme dürfen Sie wieder nach Hause gehen. Das Ergebnis der Gewebeprobenentnahme liegt in der Regel nach 5-7 Werktagen vor und wird direkt vom Speziallabor an uns übermittelt. Sobald die Gewebeprobe vorliegt, erhalten Sie einen Termin zur Besprechung der Befunde.

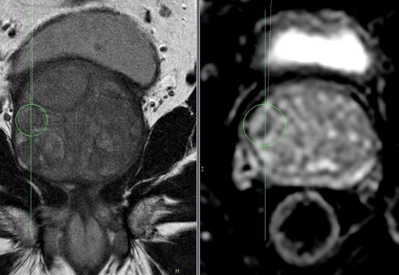
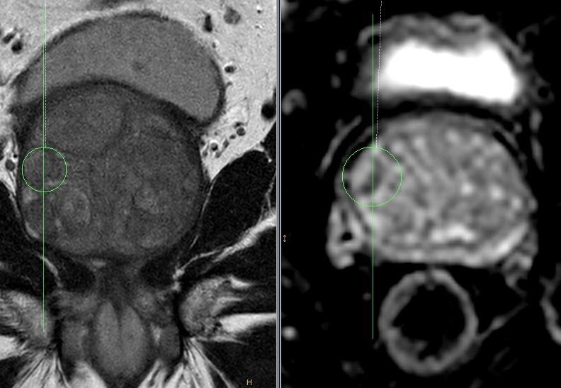
Dank dem vor der Prostatabiopsie durchgeführten multiparametischem MRT der Prostata kann die Präzision der Probenentnahme erhöht werden. Dieses Verfahren wird als Fusionsbiopsie bezeichnet.

System zur Fusionsbiopsie der Prostata_Urologie_Amriswil  mpMRT Prostata mit MRT Fusionsvorbereitung_Urologie_Amriswil Probenentnahme-Schema der Fusionsbiopsie der Prostata_Urologie_Amriswil
Fusionsbiopsie-System zur präzisen Gewebeprobenentnahme aus der Prostata: mpMRT-Prostata mit Darstellung der Entnahmezonen ("biopsy plan & shot cores")

Was für Beschwerden können nach der Prostatabiopsie auftreten?

Dank moderner und sehr stark standardisierter Technik ist die Prostatabiopsie ein sicheres und komplikationsarmes Verfahren. Ein Grossteil der Beschwerden, die nach dem Eingriff auftreten können, bilden sich binnen Tagen wieder zurück. Zu den häufigsten Beschwerden gehören:

  • Blutiger Urin und/oder Blut beim Stuhlgang
  • blutiger Samenerguss (dieser kann in selten Fällen sogar Wochen anhalten und ist unbedenklich)
  • Schwierigkeiten mit Wasser lösen, sehr selten eine totale Harnsperre 
  • Dranggefühl und gehäuftes Wasser lösen
  • Infektionen mit Fieber, Brennen beim Wasser lösen und häufiger Harndrang

In seltenen Fällen kann es aber zu einer schweren Infektion des Harntrakt und der Prostata kommen mit Notwendigkeit der hochdosierten Antibiotikagabe über die Vene (Fachausdruck: intravenös) und Spitalaufenthalt.