Nierenbecken, Harnleiter und Harnblase sind mit dem gleichen Deckgewebe ausgekleidet, welches vor dem scharfen Urin schützen soll. Dieses Deckgewebe heisst Urothel. Dieses Deckgewebe kann entarten und Krebs bilden.
Deswegen sind Nierenbecken- und Harnleiterkrebs und Blasenkrebs miteinander eng verwandt und es bestehen viele Gemeinsamkeiten in Diagnose und Behandlung.
Nierenbecken- und Harnleiterkrebs werden wie der Blasenkrebs meistens bei der Abklärung von Blut im Urin entdeckt. Oder die Patienten haben durch das Wachstum des Nierenbecken- oder Harnleiterkrebs Beschwerden wie Koliken, Flanken- oder Rückenschmerzen, Harnstau mit und ohne Infekte mit dann auch Zeichen der verminderten Nierenfunktion. Selten gibt es auch typische indirekte Zeichen auf das Viorliegen einer Krebserkrankung wie Abgeschlagenheit und Müdigkeit und Verlust der Leistungsfähigkeit und Gewichtabnahme oder Nachtschweiss bis hin zu Fieber.
Da sowohl der Nierenbeckenkrebs als auch der Harnleiterkrebs lange wachsen können, bevor sie Beschwerden machen, werden die meisten Fälle erst in einem späten Stadium erkannt (ca. 60% der Fälle).
Das wichtigste Warnsymptom ist Blut im Urin. Dieses tritt relativ früh auf und ist deswegen immer abzuklären. Denn rechtzeitig erkannt kann Nierenbecken- und Harnleiterkrebs geheilt werden.
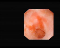
![]() Flächiger Nierenbeckenkrebs |
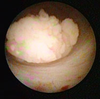
![]() Korallenförmiger, sogenannter papillärer Nierenbeckenkrebs |
|
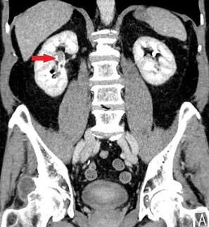
| Computertomografie-Bild mit Nierenbeckenkrebs rechts |
Nierenbecken- und Harnleiterkrebs werden zum Teil durch Zufall entdeckt, aber vor allem durch Blut im Urin und Beschwerden wie Flankenschmerzen, Harnaufstau mit und ohne Infektion, Gewichtsabnahme und Allgemeinzustandsverschlechterung.
Blut im Urin ist das wichtigste Warnzeichen!
Je früher Nierenbecken- bzw. Harnleiterkrebs erkannt und behandelt wird, umso besser sind die Heilungschancen.
Nierenbecken- und Harnleiterkrebs sind eng verwandt mit dem Blasenkrebs. In Nierenbecken, Harnleiter und Harnblase befindet sich das gleiche Deckgewebe, welches sich in Krebs umwandeln kann: das sogenannte Urothel.
Die Krebserkrankung heisst deswegen Urothelkarzinom.
Patienten mit Harnblasenkrebs haben ein sehr hohes Risiko, ein Nierenbecken- oder Harnleiterkrebs zu bekommen.
Rauchen ist der wichtigste Risikofaktor.
4 % aller Patienten mit Blasenkrebs haben gleichzeitig einen Krebsbefall des Harnleiters oder Nierenbecken.
17% aller Patienten mit Nierenbecken- und Harnleiterkrebs haben gleichzeitig auch einen Blasenkrebs.
80% der Patienten sind über 60 Jahre alt bei Diagnosestellung.
Nierenbecken- und Harnleiterkrebs ist doppelt bis dreifach so häufig bei Männern wie bei Frauen (2:1 bis 3:1).
Die Zahl der betroffenen Frauen steigt aber seit Jahren an, denn immer mehr Frauen rauchen.
Thurgau: ca. 4-5 Neuerkrankungen pro Jahr.
Operation ist die Therapie der Wahl!
Es wird die befallene Niere entfernt mit dem Harnleiter und der Einmündung des Harnleiters in die Harnblase.
Der Eingriff heisst Nephroureterektomie.
Den Eingriff führen wir minimalinvasiv über Schlüssellochchirurgie (Laparoskopie) durch in fast allen Fällen – auch bei grossen Befunden.
Ist nur der untere Harnleiter in der Nähe der Harnblase mit Krebs befallen, haben wir die Möglichkeit die Niere zu erhalten. Es wird nur der betroffene Harnleiterabschnitt entfernt. Die Niere kann hier erhalten werden, denn der restliche tumorfreie Harnleiter wird von uns wieder mit der Harnblase vereinigt.
Der Eingriff heisst Harnleitersegmentresektion.
Auch diese Operation wird von uns minimalinvasiv durchgeführt (Schlüssellochchirurgie) mit dem DaVinci-Operationssystem.
In seltenen Fällen und bei sehr oberflächlichem Befall oder wenn der Patient nur eine Niere hat, können wir den Tumor mit dem Laser abtragen und die Niere versuchen zu erhalten.
Diesen Eingriff nennt man RIRS - retrograde intrarenale Chirurgie.
Der Eingriff wird mit einer örtlichen Chemo- oder Immuntherapie verbunden, um ein rasches Wiederkehren des Krebsleiden zu verhindern.
Nierenbeckenkrebs, der gestreut hat im Körper und Absiedlungen (Metastasen) gebildet hat, ist nicht heilbar. Er kann aber unter Kontrolle gebracht werden mit den modernen Krebsmedikamenten.
Für den Nierenbecken- und Harnleiterkrebs weiss man, dass Rauchen der wichtigste und entscheidende Risikofaktor ist
Auch bestimmte Giftstoffe (Arsen, aromatische Amine, Naphtalin, Benzolprodukte oder einige spezielle Lösungsmittel) können Risikofaktoren darstellen.
Auch bestimmte Erbkrankheiten und Erbgutveränderungen können als Ursachen eine Rolle spielen, vor allem das HNPCC-Syndrom (hereditäres nicht-polypöses Kolorektalkarzinom).
Besonders Patienten mit Harnblasenkrebs haben ein hohes Risiko, ein Nierenbecken- oder Harnleiterkrebs zu entwickeln.
Am Harnblasenkrebs erkranken jedes Jahr ca. 1200 Schweizer. Davon haben 4% gleichzeitig einen Befall des Nierenbecken- und Harnleiters. 17% aller Patienten mit Nierenbecken- und Harnleiterkrebs haben gleichzeitig auch einen Blasenkrebs.
Hochgerechnet für den Kanton Thurgau heisst das, das jedes Jahr ca. 4-5 Patienten neu an Nierenbecken- oder Harnleiterkrebs erkranken.
Es haben mehr Männer als Frauen Nierenbecken- oder Harnleiterkrebs (Verhältnis 3:1). Vor allem ab dem 60. Lebensjahr steigt das Risiko, dass ein solcher Krebs festgestellt wird. Der Erkrankungsgipfel liegt zwischen dem 70. und 90. Lebensjahr.
Das wichtigste Warnsymptom ist Blut im Urin. Dieses tritt relativ früh auf und ist deswegen immer abzuklären.
Nierenbecken- und Harnleiterkrebs werden wie der Blasenkrebs meistens bei der Abklärung von Blut im Urin entdeckt.
Manchmal haben die Patienten aber auch durch das Wachstum des Nierenbecken- oder Harnleiterkrebs Beschwerden wie Koliken, Flanken- oder Rückenschmerzen, Harnstau mit und ohne Infekte, Zeichen der verminderten Nierenfunktion. Auch Blutarmut (Anämie) kann ein Warnzeichen sein.
Selten gibt es auch indirekte Zeichen auf das Vorliegen einer Krebserkrankung: Abgeschlagenheit und Müdigkeit, Verlust der Leistungsfähigkeit, Gewichtabnahme, Nachtschweiss bis hin zu Fieber.
Nierenbecken- und Harnleiterkrebs wird oft auch entdeckt, wenn bei Ihnen bereits ein Blasenkrebs behandelt wird.
Besteht der Verdacht auf ein Nierenbecken- oder Harnleiterkrebs, dann werden neben der körperlichen Untersuchung und Blut- und Urinproben und zuerst ein Ultraschall durchgeführt und eine Blasenspiegelung.
Im Anschluss erfolgen weitere Röntgenuntersuchungen, die als bildgebende Verfahren bezeichnet werden:
Die Bildgebenden Verfahren sollen zum einen den Krebs darstellen. Sie sollen aber auch klären, ob sich der Krebs nur im Nierenbecken und Harnleiter oder schon darüber hinaus in die Umgebung ausgebreitet hat oder in Lymphknoten und andere Organe gestreut hat (Ableger in z.B. Leber, Lunge, Knochen).

Abbildung 3: Spezielle Computertomografie mit Darstellung eines Nierenbeckenkrebs im oberen Teil des Nierenbecken
Die Blasenspiegelung soll klären, ob zusätzlich noch ein Blasenkrebs vorliegt.
Die Urinproben werden speziell behandelt und wir suchen nach auffälligen, krebsverdächtigen Zellen im Urin (sogenannte Zytologie).
Besteht der dringende Verdacht auf einen Nierenbecken- oder Harnleiterkrebs, dann erfolgt in einem kurzen Eingriff in Narkose im Spital eine Spiegelung des Harnleiters und Nierenbecken mit einem sehr dünnen Endoskop. Mit Hilfe des starren oder flexiblen Endoskops kann der Krebsherd entdeckt, dargestellt und Gewebeproben entnommen werden.
![]() |
![]() |
| Flexibles Endoskop im Nierenbecken zur Probenentnahme | Starres Endoskop im Nierenbecken zur Probenentnahme |
Diese Gewebeproben zeigen, ob es sich wirklich um Nierenbecken- oder Harnleiterkrebs handelt und welches Stadium der Krebs hat.
Die Haupttherapie des Nierenbecken- und Harnleiterkrebs besteht in der Operation. Diese soll zur vollständigen Heilung führen.
Diese kann heutzutage minimalinvasiv erfolgen. Das bedeutet, dass über winzige Körperöffnungen operiert wird in Schlüssellochtechnik. Dabei wird betroffene Niere mit dem Harnleiter und der Mündungsstelle des Harnleiters in die Harnblase komplett entfernt. Die Blasenöffnung wird wieder verschlossen.
Diese Technik heisst laparoskopische Nephroureterektomie.
Eine solche Operation bei einem Nierenbeckenkrebs zeigen die folgenden Bilder und das OP-Video.
Video OP Schell LapNUX
Ist nur der untere Harnleiter in der Nähe der Harnblase mit Krebs befallen, haben wir die Möglichkeit die Niere zu erhalten und nur den betroffenen Harnleiterabschnitt zu entfernen. Die Niere kann hier erhalten werden, denn der Harnleiter wird von uns wieder mit der Harnblase vereinigt.
Der Eingriff heisst Harnleitersegmentresektion.
Auch diese Operation wird von uns minimalinvasiv durchgeführt (Schlüssellochchirurgie) mit dem DaVinci-Operationssystem.
Das Beispiel einer schonenden Nierenerhaltenden Operation eines Harnleiterkrebs mit dem DaVinci-Operationsroboter zeigen die folgenden Bilder und das OP-Video.
Video OP Kadner DaVinci-HL-Segmentresektion und Boari
Nach beiden Operationsverfahren erfolgt zur Sicherheit eine örtliche Chemotherapie der Harnblase, um das hohe Risiko einer Entwicklung eines Harnblasenkrebs zu minimieren.
In ganz wenigen Fällen kann die Niere oder der Harnleiter komplett erhalten werden und es wird nur der Krebsherd behandelt. Dabei wird der Krebsherd mit Hilfe eines Miniatur-Endoskop und dem Laser abgetragen. Diesen Eingriff nennt man RIRS - retrograde intrarenale Chirurgie. Der Eingriff wird immer mit einer örtlichen Chemo- oder Immuntherapie verbunden, um einen rasches Wiederkehren des Krebs zu verhindern.
Möglich ist dieses Vorgehen in einem sehr frühen Stadium, das heisst wenn der Krebs nur ganz oberflächlich liegt und sehr früh erkannt wurde. Auch bei Patienten, die nur eine Niere haben, versuchen wir mit dieser Methode diese eine Niere zu erhalten und den Patienten vor einer Nierenersatztherapie zu bewahren. Das gleiche gilt für Patienten die nicht fit sind für eine grössere Operation.
Video OP Kadner URS (Patient E.)
Wenn der Nierenbecken- oder Harnleiterkrebs bereits weit fortgeschritten ist und sich in andere Organe ausgebreitet hat, dann kann er nicht mehr geheilt werden. Dieses Stadium der Krebserkrankung nennt man «fortgeschritten» oder «metastasiert», die Krebs-Absiedlungen nennt man Metastasen. Auch wenn dieses Stadium als nicht heilbar gilt, kann der Krebs aber unter Kontrolle gebracht und zurückgedrängt werden.
Da Nierenbecken- oder Harnleiterkrebs starke Beschwerden durch das Wachstum machen mit Blutungsneigung, Einwachsen in andere Organe und starke Verdrängung anderer Organe, wird in der Regel trotzdem die Operation durchgeführt und die betroffene Niere mit dem Harnleiter entfernt um diese Komplikationen zu vermeiden.
Anschliessend erfolgt eine Chemotherapie, um den Krebs zurückdrängen und unter Kontrolle bringen. Hier kommen durch die Forschung immer wieder auch neue Medikamente auf den Markt, die den Krebs immer besser unter Kontrolle bringen und unter Kontrolle halten. Diese Medikamente greifen in den Stoffwechsel der Krebszellen ein, blockieren die Blutversorgung der Krebsgeschwüre, stören den Signaltransport.
Nierenbecken- und Harnleiterkrebs sind aggressiv und neigen zu Rückfällen, dem sogenannten Rezidiv. Deswegen sind regelmässige Nachkontrollen sehr wichtig und dringend empfohlen. Diese heissen Tumornachsorgen und sind von den urologischen Fachgesellschaften in den Behandlungsleitlinien festgelegt. Die Kontrolltermine dienen dazu, rechtzeitig das Wiederauftreten des Krebs oder Folgen der Behandlung zu erkennen.
Die Nachsorgetermine folgen dabei einem festen Schema. In der ersten Zeit nach einer Operation sind sie engmaschiger, oftmals alle 3 Monaten am Anfang, später nur noch alle 12 Monate.
Besonders bei einem Erhalt der Niere und Harnleitersegmentresektion oder bei Organerhaltenden Vorgehen sind die Kontrolle sehr, sehr engmaschig.
Die Kontrolltermine umfassen eine körperliche Untersuchung, Ultraschall, manchmal auch Urin- und Blutanalysen und Bildgebende Untersuchungen (CT, MRT). Auch die Harnblase und die ander Niere und Harnleiter müssen immer im Auge behalten werden. Denn das Auftreten eines Harnblasenkrebs oder Nierenbecken- und Harnleiterkrebs auf der anderen Seite muss unbedingt rechtzeitig erkannt werden. Deswegen gibt es regelmässige Blasenspiegelungen und Endoskopien des anderen Harnleiters und Nierenbecken.
Die wirksamste vorbeugende Massnahme gilt für fast alle Krebserkrankungen:
Blut im Urin ist das wichtigste Warnzeichen! Zeigt sich Blut im Urin, dann kontaktieren Sie ihren Hausarzt und lassen sich zu uns Urologen überweisen. Oder sie vereinbaren direkt mit uns einen Termin.
Da die Ursache der Krebserkrankungen der Nieren nicht vollständig geklärt ist, hat man auch Schwierigkeiten das Risiko für Familienangehörige einzuordnen.
Das wichtigste ist, dass im Falle einer Erkrankung an Nierenbecken- oder Harnleiterkrebs sie ihre Familie nicht «verrückt» machen und in Panik versetzen.
Sie sollten zu allererst mit uns als Ihren Urologen reden und zusammen genau klären, ob ein erhöhtes Risiko für einen erblich bedingten Nierenbecken- oder Harnleiterkrebs besteht oder Ihre Familienangehörigen ein Risikoprofil aufweisen.
Deswegen klären wir mit Ihnen gemeinsam, ob es sinnvoll ist ihre Angehörigen zu einem Ultraschall und einer Urinprobe und eventuell einer Blasenspiegelung als Vorsorgemassnahme einzubestellen.
Wir klären mit Ihnen auch ab, wann eine erweiterte Abklärung mit humangenetische Beratung erfolgen sollte. Dazu bedarf es auch eines ausführlichen Kostengutsprachegesuches an die Krankenkasse.
Beispielhaft besprechen wir dies mit Ihnen, wenn neben einem bösartigen Nierentumor sie oder ihre Familie folgende Besonderheiten aufweisen: